Des chercheurs japonais travaillent sur un médicament faisant repousser les dents

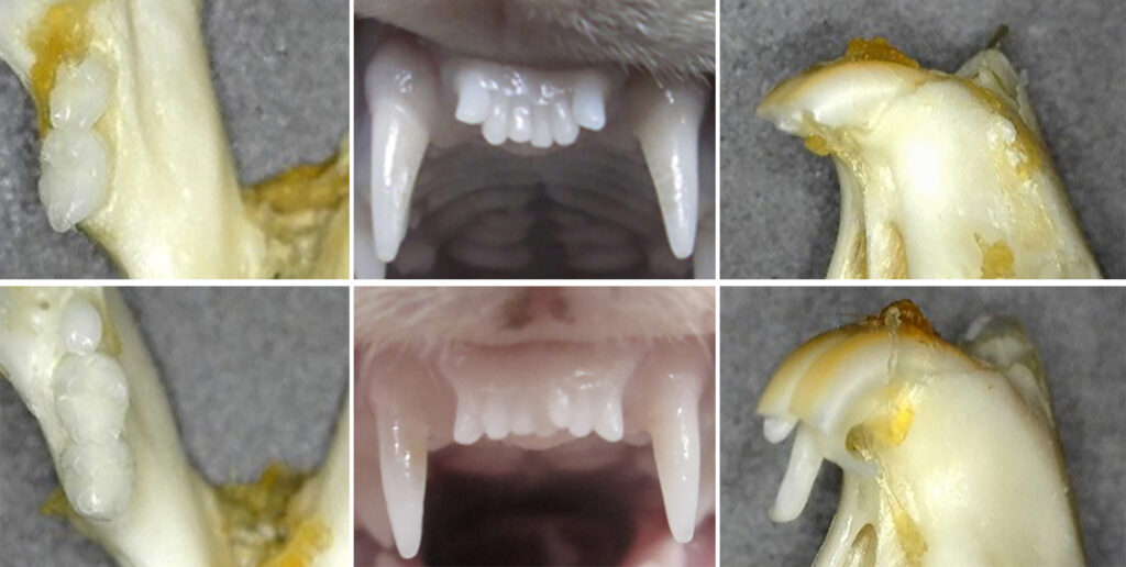
Des chercheurs japonais ont peut être trouvé la solution au cauchemar des sourires édentés, en testant un médicament qui pourrait permettre aux incisives et autres molaires de repousser.Finis les dentiers posés sur la table de chevet ou les lourdes factures d’implants dentaires ? Des dentistes japonais y croient et testent un médicament inédit qui, espèrent-ils, deviendra une alternative aux prothèses dentaires et aux implants.Contrairement aux reptiles et aux poissons dont les crocs sont remplacés régulièrement, les humains, comme la plupart des autres mammifères, ne font pousser que deux séries de dents, les dents de lait et les bien mal-nommées “définitives”.Mais cachés sous nos gencives se trouvent les bourgeons dormants d’une troisième génération, selon Katsu Takahashi, chef du service de chirurgie buccale à l’Institut de recherche médicale de l’hôpital Kitano à Osaka.En octobre, Takahashi et son équipe ont lancé des essais cliniques sur l’homme d’un médicament expérimental ayant le potentiel de relancer la croissance de ces dents cachées.Cette technologie “entièrement nouvelle” est conçue pour neutraliser une protéine appelée USAG-1, qui inhibe la croissance de la troisième série de dents, explique le chercheur à l’AFP.Les traitements prothétiques actuels utilisés pour les dents perdues à cause d’une carie, d’une maladie ou d’une blessure sont souvent considérés comme coûteux et invasifs.”Faire repousser des dents naturelles présente sans aucun doute des avantages”, déclare Takahashi.Dans une étude publiée l’année dernière, l’équipe a déclaré, photos à l’appui, que son “traitement par anticorps chez la souris est efficace pour la régénération des dents et peut constituer une avancée dans le traitement des anomalies dentaires chez l’homme”.- Objectif 2030 -Pour l’instant, les dentistes donnent la priorité aux cas “urgents” de patients ayant six dents ou plus manquantes à la naissance.Cette maladie héréditaire toucherait environ 0,1 % des personnes, qui peuvent avoir de graves difficultés à mâcher et, au Japon, passent souvent la majeure partie de leur adolescence à porter un masque facial pour cacher les larges trous dans leur bouche, explique M. Takahashi.”Ce médicament pourrait changer la donne pour eux”, espère-t-il.Le médicament serait donc destiné en priorité aux enfants, et les chercheurs souhaitent le rendre disponible dès 2030.Angray Kang, professeur de dentisterie à l’Université Queen Mary de Londres, ne connaît qu’une seule autre équipe poursuivant un objectif similaire. “Mais je dirais que le groupe Takahashi ouvre la voie”, affirme à l’AFP cet expert en immunotechnologie.Le travail de Takahashi est “passionnant et mérite d’être poursuivi”, en partie parce qu’un médicament à base d’anticorps qui cible une protéine presque identique à l’USAG-1 est déjà utilisé pour traiter l’ostéoporose.”La course à la régénération des dents humaines n’est pas un sprint, mais une série d’ultra-marathons. Et ce n’est que le début”, déclare-t-il.Selon Chengfei Zhang, professeur clinicien en endodontie dans une université de Hong Kong, la méthode de Takahashi est “innovante et possède du potentiel”.”L’affirmation selon laquelle les humains possèdent des bourgeons dentaires latents capables de produire une troisième série de dents est à la fois révolutionnaire et controversée”, nuance-t-il auprès de l’AFP.Ce bourgeon peut s’expliquer par le fait que les résidus de la lame dentaire humaine conduisent parfois à un excédent de dents selon lui.- Espérance de vie -Les résultats des expériences passées sur les animaux soulèvent “des questions sur la capacité des dents régénérées à remplacer fonctionnellement et esthétiquement les dents manquantes”, poursuit-il.En réponse, Takahashi soutient que si une nouvelle dent pousse incorrectement, elle peut être replacée par orthodontie ou transplantation.Pour l’instant, les participants à ces essais cliniques sont des adultes, auxquels il ne manque qu’une seule dent et la régénération dentaire n’est pas l’objectif premier de cet essai.Selon Takahashi, il y a une faible chance que cela arrive aux sujets-tests mais le chercheur “serai(t) aux anges si cela se produisait”.L’arrivée sur le marché de ce médicament serait particulièrement bienvenue au Japon, qui a la deuxième population la plus âgée du monde.Les données du ministère de la Santé montrent que plus de 90% des Japonais âgées de 75 ans ou plus ont au moins une dent manquante.”On espère fortement que notre technologie puisse directement prolonger leur espérance de vie en bonne santé”, espère M. Takahashi.
Tue, 17 Dec 2024 13:29:26 GMT